放射诊断

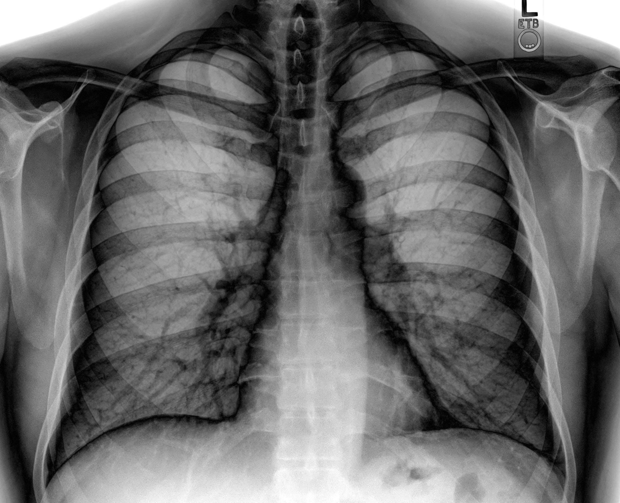
放射诊断主要依赖于X射线、CT(计算机断层扫描)等先进技术,为医生提供清晰、准确的身体内部图像。

如当骨折发生时,X射线就像是一束神奇的光,穿透身体,将骨骼的影像清晰地呈现在胶片或数字探测器上,帮助医生迅速定位骨折位置,判断骨折类型,从而制定出科学的治疗方案。而CT扫描则更加精细,它从不同角度对身体进行X射线扫描,通过计算机处理,生成身体内部的横截面图像,让脑出血、脑肿瘤等微小病变无处遁形。

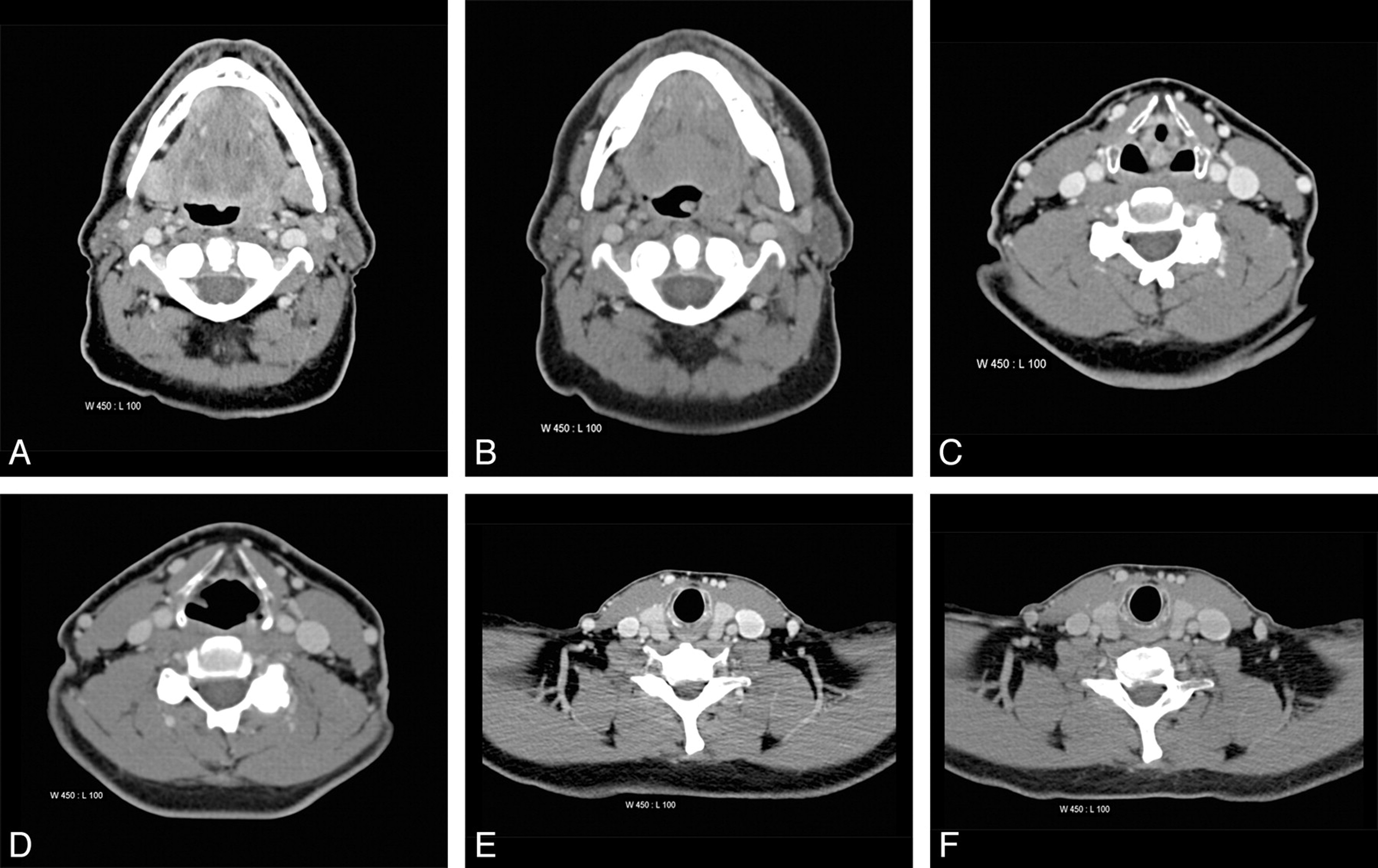
病变诊断影像